El Cerrahisi ve Mikrocerrahi: İş Kazalarında Acil Çözümler
El, günlük yaşamda en çok kullanılan organlarımızdan biridir. Sanayi işçileri, ofis çalışanları, sporcular ve ev hanımları… Hepimiz için eller, çalışm...
Devamını Oku
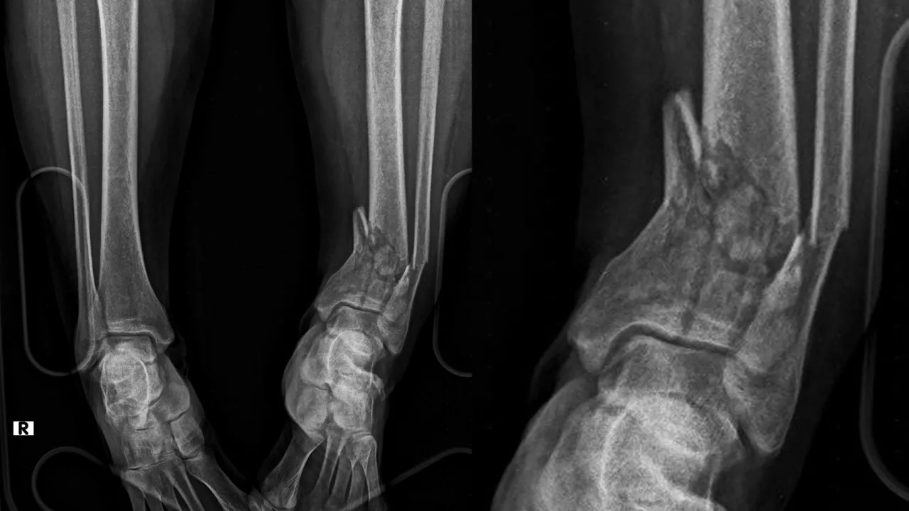
Travmalar, günlük yaşamda en sık karşılaşılan acil durumlardan biridir. Trafik kazaları, yüksekten düşmeler, spor yaralanmaları veya iş kazaları sonucu oluşan kırıklar, hızlı ve doğru müdahale edilmediğinde kalıcı sakatlıklara yol açabilir. Travma sonrası kırık cerrahisi, hastaların hayatını kurtaran ve fonksiyonel iyileşmelerini sağlayan en kritik tedavi alanlarından biridir. Kırık cerrahisini yapmayan ortopedist yoktur. Ancak burada yumuşak dokuya saygı gösterme ve bağların korunması, kırık tedavisi sonrasında kısa ve uzun vadede sonuçları etkileyen önemli faktördür.
Travma sonrası kırıkların doğru değerlendirilmesi, tedavi başarısının en önemli adımıdır.


▲ Plak ve Vida ile Tespit: Kemik parçaları anatomik pozisyona getirilip sabitlenir.
▲ Çivileme (İntramedüller Çivi): Uzun kemik kırıklarında güvenilir ve hızlı iyileşme sağlar.
▲ Eksternal Fiksatör: Özellikle açık kırıklarda veya çok parçalı kırıklarda geçici/kalıcı sabitleme yöntemi.
▲ Minimal İnvaziv Teknikler: Küçük kesilerle yapılan cerrahiler, daha az doku hasarı ve hızlı iyileşme sağlar.
Travma ve kırık hastalarında tedavinin başarısı hızlı erişim ve deneyimli cerrahi ekip ile mümkündür.

Travma sonrası kırık cerrahisi, sadece bir kemik onarımı değil; hastanın yeniden ayağa kalkması, günlük hayatına dönmesi ve yaşam kalitesini geri kazanmasıdır. Modern görüntüleme teknikleri, güncel cerrahi yöntemler ve 7/24 acil müdahale sayesinde kırık tedavisinde yüksek başarı elde edilmektedir.
Kırık cerrahisindeki 15 yıllık tecrübemiz ve ekibimiz ile başta kalça kırıkları olmak üzere İzmir'de femur, tibia, ayak bileği kırıklarında ve humerus, dirsek kırıklarında hızlı ve deneyimli cerrahi tedavi sunuyoruz.
"Travma sonrası kırık cerrahisi: Kalça, ayak bileği, el bileği ve pelvis kırıklarında 7/24 acil cerrahi müdahale ile hızlı ve güvenli tedavi. İzmir’de uzman ortopedi ekibiyle hizmetinizde."
El, günlük yaşamda en çok kullanılan organlarımızdan biridir. Sanayi işçileri, ofis çalışanları, sporcular ve ev hanımları… Hepimiz için eller, çalışm...
Devamını OkuDiz kireçlenmesi (diz osteoartriti), eklem kıkırdağının aşınması sonucu ağrı, hareket kısıtlılığı ve yaşam kalitesinde ciddi düşüşe yol açar. İleri ev...
Devamını OkuTravma ve Kırık Cerrahisi Nedir?Travma sonrası oluşan kırıklar, çıkıklar ve yumuşak doku yaralanmaları ortopedinin en sık karşılaştığı acil durumlardı...
Devamını Oku